Ir para o conteúdo
Newsletter
Como anunciar
Fale com a gente
Núcleos
São José do Rio Preto
Itápolis
Newsletter
Como anunciar
Fale com a gente
Núcleos
São José do Rio Preto
Itápolis
Siga nos:
X-twitter
Facebook-f
Instagram
Whatsapp
Home
Polícia
Cotidiano
Nucleos
São José do Rio Preto
Itajobi
Esportes
Política
Entretenimento
Saúde
Apuração 2024
Publicações Legais
segunda, 2 de março de 2026
Pesquisar
Núcleos
Itápolis
São José do Rio Preto
Núcleos
Itápolis
São José do Rio Preto
Home
Polícia
Cotidiano
Nucleos
São José do Rio Preto
Itajobi
Esportes
Política
Entretenimento
Saúde
Apuração 2024
Publicações Legais
Home
Polícia
Cotidiano
Nucleos
São José do Rio Preto
Itajobi
Esportes
Política
Entretenimento
Saúde
Apuração 2024
Publicações Legais
Bizarro
Arqueólogos acham a 1ª vítima de ataque de tubarão na história
Com 3 dias de uso, carro elétrico pega fogo com motorista dentro
Vídeo: homem escapa por pouco de objeto em chamas após explosão
Em falta em supermercados, papel higiênico vira prêmio em arcade
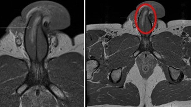
Homem fratura pênis verticalmente no sexo, em 1º caso da história
Mulher desmaia após 100 chibatadas por sexo antes do casamento
Cantora assiste pornô com os filhos para ensiná-los sobre sexo
Carro voador é realidade e completa viagem de 35 minutos
Balas de goma derretem com calor recorde no Canadá
Cozinheiro morre após cair em panela e sofrer queimaduras
Família de ursos invade casa e curte piscina para fugir de calor
No posts found
Vizinha diz que sabia tudo sobre Lázaro e viraliza na internet
Morre paciente que viralizou em vídeo de festa em ala covid
Ilhas Faroe cumprem tradição ancestral e matam 175 baleias
Jovem destrói com chave inglesa Porsche de R$ 5,5 milhões
Jovem mata o pai afogado após tentar fazer batismo e exorcismo
Influencer faz mesversário para filha com tema Grávida de Taubaté
Homem é flagrado mordendo seio de torcedora durante jogo
Ladrão de sapatos femininos é preso, e polícia acha 139 pares
Banco deposita por engano R$ 246 bilhões na conta de correntista
Com medo de vacina, homem sobe em árvore e fica lá até fim do dia
No posts found
1
…
528
529
530
531
532
533
534
…
1.247