Um perigoso método de emagrecimento vem preocupando médicos: mulheres estão comprando pílulas de ovos de tênia pela internet, na tentativa de perder peso rapidamente. A prática foi revelada por especialistas como um alerta sobre os graves riscos à saúde. As tênias são parasitas que se alojam no intestino humano, absorvendo nutrientes e, potencialmente, levando à perda de peso, mas também provocando diarreia, vômitos e complicações que podem ser fatais.
O mercado negro da internet, conhecido como deep web, tem facilitado o acesso a essas pílulas, o que coloca os consumidores em sérios riscos. Bernard Hsu, estadunidense especialista em câncer, compartilhou a história de uma paciente de 21 anos que comprou esse medicamento usando criptomoeda. No início, ela obteve os resultados desejados, perdendo peso e ignorando cólicas estomacais ocasionais. Com o tempo, a situação piorou drasticamente quando ela começou a perceber efeitos estranhos em seu corpo.
Em determinado momento, ela notou pedaços estranhos flutuando no vaso sanitário após sofrer com diarreia, mas acreditou ser gordura sendo eliminada de seu organismo. Dias depois, ao pressionar um caroço no queixo, ela desmaiou e começou a sofrer intensas dores de cabeça. “Foi nesse ponto que ela finalmente procurou ajuda no pronto-socorro”, relatou Hsu, reforçando o quão perigosa a situação se tornou.
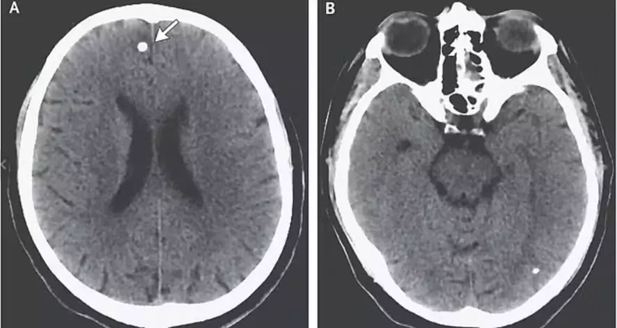
Só depois desse episódio que ela buscou ajuda e, após exames, foi encontrado ovos de tênia no crânio da paciente. Além disso, os médicos notaram que havia o dobro do líquido cefalorraquidiano presente no cérebro, aumentando a pressão na cabeça e causando o pequeno cisto que, se descoberto pouco depois, poderia ser fatal.
